Advanced Surgical Intervention for Vitiligo Treatment
Explore our advanced treatment options for vitiligo
Need Immediate Assistance?

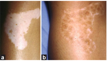
NCMT is a great breakthrough in surgical interventions of less responding vitiligo areas like extremities, lips and at the same time, if performed on a stable and well responding patients on bigger areas like shins, hands and face, it gives brilliant and aesthetically beautiful results over a very short time. NCMT is preferred over other surgical interventions nowadays because of cosmetically better results and fast recovery.